
PuskesmasOesapa Kupang
Jalan Suratim RT 15 / RW 06
Kelurahan Oesapa
Kecamatan Kelapa Lima
Kota Kupang
Nusa Tenggara Timur
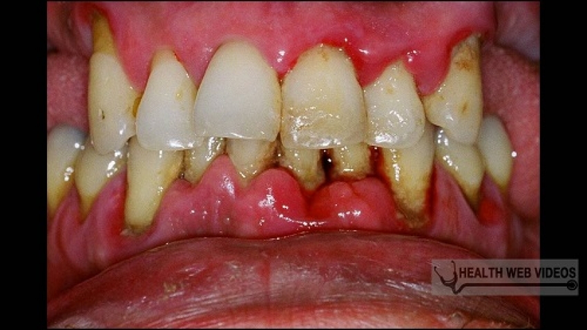
Kebersihan gigi dan mulut adalah hal penting yang perlu terus dijaga. Kesehatan gigi dan mulut tak hanya terkait dengan persoalan estetika semata, tetapi juga dapat menimbulkan problem kesehatan yang serius.
Timbulnya penyakit yang berkaitan dengan gigi seperti seperti karies (gigi berlubang) atau penyakit periodontal (infeksi gigi/plak gigi) misalnya, dapat berakibat fatal terhadap kesehatan tubuh.
Menurut Guru Besar Fakultas Kedokteran Gigi Universitas Sumatera Utara, Prof Sondang Pintauli, dua jenis gangguan pada gigi dan mulut ini dapat menimbulkan penyakit sistemik.
"Apabila tidak cepat ditanggulangi dapat menyebabkan mikroba dalam plak gigi, menyebar dan menimbulkan penyakit sistemik seperti gangguan pada jantung, saluran pernapasan, diabetes bahkan menyebabkan kelahiran prematur,"
Karies atau gigi berlubang merupakan penyakit pada jaringan keras gigi yaitu email, dentin dan sementum yang memfermentasi karbohidrat pada gigi.
Proses karies ditandai dengan terjadinya demineralisasi pada jaringan keras gigi, diikuti dengan kerusakan bahan organiknya yang menyebabkan terjadinya invasi bakteri dan kerusakan pada jaringan pulpa serta penyebaran infeksi ke jaringan periapikal dan menimbulkan rasa nyeri.
Sedangkan penyakit periodental merupakan penyakit infeksi yang disebabkan bakteri yang terakumulasi dalam plak, yang menyebabkan gingiva mengalami peradangan, sehingga sering juga disebut penyakit plak. Ia mengatakan, sama seperti organ tubuh lainnya, rongga mulut merupakan tempat berkumpulnya bakteri aerob maupun anaerob. Bakteri rongga mulut dapat menyebar melalui aliran darah yang disebut bakteremia.
Dari penelitian dilaporkan bahwa bakteremia terjadi pada 100 persen pasien setelah pencabutan gigi, 70 persen setelah pembersihan karang gigi, 55 persen setelah pembedahan gigi molar tiga, dan 20 persen setelah perawatan saluran akar gigi.
Pada kondisi kesehatan mulut yang normal, hanya sejumlah bakteri yang masuk kedalam aliran darah dan tidak membahayakan. Namun pada individu yang mempunyai oral higiene buruk, maka jumlah bakteri pada permukaan giginya meningkat 2-10 kali, sehingga peluang terjadinya bakteremia menjadi lebih besar.
Teori fokal infeksi menyebutkan bahwa infeksi di rongga mulut bertanggung jawab terhadap terjadinya dan berkembangnya tiga penyakit sistemik yakni kardiovaskuler, diabetes melitus dan aterosklerosis.
"Namun dari ketiganya yang paling berpengaruh adalah penyakit kardiovaskuler, karena bakteri gigi dapat langsung masuk ke dalam tubuh melalui aliran darah. Hal ini menunjukkan bahwa gigi dan rongga mulut dapat berfungsi sebagai jalur masuk bagi mikroba penyebab penyakit kebagian tubuh lainnya," katanya.
Sondang menambahkan, meski di beberapa negara berkembang dilaporkan sudah terjadi perbaikan atau peningkatan kesehatan gigi dan mulut, namun kesehatan gigi dan mulut tetap merupakan tantangan masalah kesehatan yang perlu ditanggulangi.
Dalam hal ini, diperlukan peran aktif masyarakat untuk berperilaku hidup sehat yang dimulai dari diri sendiri. Tidak cukup hanya dengan kebiasaan pelihara diri saja, tetapi juga harus berusaha menghindari beberapa faktor risiko penyakit gigi dan mulut seperti merokok, alkohol dan stres. Selain itu, membiasakan diet dengan gizi seimbang, mengurangi asupan gula dan dan mengunjungi dokter gigi secara teratur minimal dua kali setahun.
"Dapat disimpulkan bahwa kesehatan gigi dan mulut yang dipelihara dengan baik dapat menghindarkan seseorang dari risiko menderita penyakit gigi dan mulut serta penyakit sistemik.
Sumber : KOMPAS.COM
ADMINISTRASI
puskosp.dinkes-kotakupang.web.id | Alamat email ini dilindungi dari robot spam. Anda memerlukan Javascript yang aktif untuk melihatnya.